Via Igea 3, Darfo Boario Terme
Via Antonio Lorenzetti 15, Darfo Boario Terme BS

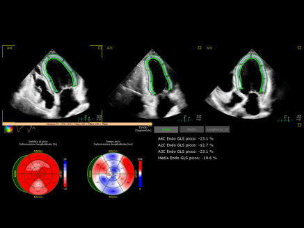
Applicativi avanzati di anali ecocardiografica consentono in maniera non invasiva di ottenere informazioni accurate sulla funzione meccanica del cuore e stime precise anche delle pressioni polmonari.
Via Igea 3, Darfo Boario Terme
Via Antonio Lorenzetti 15, Darfo Boario Terme BS